口臭治療
口臭治療
- 丁寧な問診とカウンセリング
- 口腔内診査
- 各種専門的な検査
- 原因に応じた口臭治療
常に気になってしまう
相手に不快な思いを
させていないか不安になる
試しても効果が長続きしない
そのお悩み、一人で抱え込まないでください
- 「自分の口の臭いが常に気になってしまう」
- 「人と話す時、相手に不快な思いをさせていないか不安になる」
- 「歯磨きやマウスウォッシュを試しても効果が長続きしない」
口臭は非常にデリケートなお悩みです。
ご家族や親しい友人にも相談できず、お一人で深く悩み、心を痛めている方も少なくありません。
人とのコミュニケーションに自信が持てなくなり、日常生活の様々な場面で消極的になってしまうことさえあります。
まず知っていただきたいこと。それは口臭はご自身の身体の状態を知らせてくれる大切な「サイン」であるということです。
そしてその原因のほとんどは適切な検査と治療によって根本から改善することが可能であるという事実です。
歯磨きガムや洗口剤で一時的に臭いをマスキングするその場しのぎのケアでは根本的な解決には至りません。
大切なのはなぜ口臭が発生しているのか、その「原因」を科学的に解明し、それに応じた的確なアプローチを行うことです。
私たち芦屋ラポルテ歯の予防クリニックは口臭というお悩みに医学的な観点から真摯に向き合います。客観的なデータに基づいて原因を突き止め、自信に満ちた爽やかな毎日を取り戻すためのお手伝いをします。どうぞそのお悩みを私たち専門家にお聞かせください。
口臭の正体とその原因

口臭治療への第一歩はご自身のお悩みについて正しく理解することから始まります。
ひとくちに「口臭」と言ってもその原因や種類は様々です。
口臭の主な原因物質「揮発性硫黄化合物(VSC)」
多くの方が不快に感じる特有の口臭。その臭いの主な正体は「揮発性硫黄化合物(VSC)」と呼ばれるガスです。これはお口の中にいる特定の細菌(主に歯周病菌)が食べかすやお口の粘膜から剥がれ落ちた細胞に含まれるタンパク質を分解する過程で産生されます。
卵が腐ったような臭いの「硫化水素」や生ゴミのような臭いの「メチルメルカプタン」などがこの揮発性硫黄化合物の代表的なものです。
つまり口臭を根本から改善するためにはこのガスを産生する「細菌」をコントロールすることが最も重要な鍵となるのです。
口臭の種類 – 気にする必要のない口臭もあります
口臭は大きく分けて治療の必要がない「生理的口臭」と何らかの病気が原因となっている「病的口臭」に分類されます。
生理的口臭
これは病的な原因がなく誰にでも起こりうる自然な口臭です。
- 起床時の口臭
睡眠中は唾液の分泌が減少し、細菌が増殖しやすくなるため朝起きた時に口臭が強くなります。歯磨きをすればほとんどなくなります - 空腹時の口臭
空腹によって血液中の代謝産物が増え、それが呼気として排出されることで特有の臭いが生じることがあります - 緊張時の口臭
強いストレスや緊張によって唾液の分泌が抑制されると一時的に口臭が強まることがあります - 加齢に伴う口臭
年齢とともに唾液の分泌量が自然と減少するため口臭が発生しやすくなります
これらの生理的口臭は過度に気にする必要はありません。
心因性口臭
客観的な検査を行っても実際には口臭が認められないにもかかわらず、ご自身では「口臭がある」と思い込んでしまい悩んでいる状態です。
この場合はまずご自身の口臭が実際にはないことを客観的なデータを通じてご理解いただくことが解決の第一歩となります。
私たちが治療の対象とする「病的口臭」
歯科医院での治療が必要となるのはこの「病的口臭」です。
その原因の9割以上は胃や内臓の不調などではなく、お口の中に潜んでいることが分かっています。
病的口臭の主な原因
【最大の原因】歯周病

病的口臭の最も大きな原因は歯周病です。
歯周ポケットの中で増殖した歯周病菌は揮発性硫黄化合物を大量に産生します。
歯ぐきからの出血や膿が混じることでその臭いはさらに強いものになります。「ドブのような臭い」「生臭い」といった特有の強い口臭がある場合、歯周病が進行している可能性が非常に高いと考えられます。
舌の汚れ(舌苔 – ぜったい)

舌の表面に付着する白や黄色っぽい苔のようなもの。
これが「舌苔(ぜったい)」です。
舌苔は剥がれ落ちた粘膜の細胞や食べかすに細菌が繁殖したもので口臭の大きな原因となります。
進行した虫歯、適合の悪い被せ物

大きな虫歯の穴の中や適合が悪く隙間のできた詰め物・被せ物の下は食べかすが溜まりやすく、細菌が繁殖する温床となります。
そこで食べかすが腐敗し、強い臭いを放つことがあります。
唾液の減少(ドライマウス)

唾液にはお口の中の汚れを洗い流し、細菌の増殖を抑える重要な自浄作用があります。
薬の副作用や加齢、ストレス、口呼吸などによって唾液の分泌量が減少すると(ドライマウス)、細菌が繁殖しやすくなり口臭が発生しやすくなります。
全身の病気が原因の場合(ごく稀)

副鼻腔炎(蓄膿症)や扁桃腺の炎症といった呼吸器系の疾患、あるいは糖尿病や肝臓・腎臓の病気などが原因で特有の口臭が発生することがありますが、これは全体から見るとごく稀なケースです。
お口の中に明らかな原因が見当たらない場合に内科や耳鼻咽喉科など他の医療機関との連携を検討します。
原因を特定する当院の科学的アプローチ

口臭治療の成否は「なぜ口臭が発生しているのか」という原因をいかに正確に特定できるかにかかっています。
当院では患者様の感覚だけに頼るのではなく、専門的な検査機器を用いた客観的なデータに基づく科学的なアプローチで口臭の根本原因を突き止めます。
ステップ1:丁寧な問診とカウンセリング
まず患者様が抱えているお悩みについてじっくりとお話をお伺いします。
- いつ頃からどのような時に口臭が気になりますか
- どのような臭いだと感じますか
- 他の人から口臭を指摘された経験はありますか
- 現在の食生活や喫煙・飲酒などの生活習慣について
- 服用しているお薬や全身の健康状態について
これらの情報は口臭の原因を探る上で非常に重要な手がかりとなります。
ステップ2:口腔内診査
次にお口の中を拝見し、口臭の原因となりうる問題がないかを詳細にチェックしていきます。

- 歯周病や虫歯の有無
歯ぐきの炎症状態や虫歯の進行度を確認します - 修復物の状態
詰め物や被せ物の適合状態、隙間や段差がないかをチェックします - 舌苔の付着状態
舌苔の量や色、付着している範囲などを評価します - 口腔内カメラの活用
ご自身では見ることのできない歯の裏側や奥歯の状態、舌の状態などをペン型のカメラで撮影し、モニターに映し出します
ご自身の目でお口の中の状態を客観的に確認していただきます。
ステップ3:各種専門的な検査
唾液検査(サリバテスト)

口臭と密接な関係がある唾液の働きを科学的に評価します。
ごく少量の唾液を採取するだけで以下のことを調べることができます。
- 唾液の分泌量
ドライマウスの傾向がないかを調べます - 唾液の緩衝能
唾液が持つお口の中の酸を中和する能力を測定します。この力が弱いと細菌が活動しやすくなります - 唾液中の細菌の活動度
口臭の原因となる細菌がどの程度活発に活動しているかを調べます
歯周組織検査

歯周病が疑われる場合には歯周ポケットの深さや歯ぐきからの出血の有無などを一本一本の歯について詳細に検査し、歯周病の進行度を正確に把握します。
レントゲン・CT検査

必要に応じてレントゲンやCT撮影を行い、目では見えない歯の根の状態や顎の骨の状態、副鼻腔の炎症の有無などを確認することもあります。
ステップ4:診断結果のご説明
これらの問診、診査、そして各種検査によって得られた客観的なデータを総合的に分析し、患者様の口臭の根本原因が何であるのかを明確にご提示します。
そしてその原因を取り除くための具体的な治療計画を患者様と相談しながら一緒に立てていきます。
原因に応じた具体的な口臭治療
口臭治療は原因によってアプローチが全く異なります。
当院では診断によって明らかになった根本原因に対して専門的な治療を行います。
歯周病が原因の場合
病的口臭の最大の原因である歯周病に対してはその進行度に応じた徹底的な治療を行います。


- プロフェッショナルケア(PMTC・エアフロー)
歯の表面に付着したバイオフィルムや歯石を専門の機器で徹底的に除去します - ブルーラジカル治療
歯周ポケットの奥深くに潜む口臭の直接的な原因となる歯周病菌を光の力で根本から殺菌します
歯周病を改善させることが口臭治療の最も確実で効果的な方法です。
舌苔(ぜったい)が原因の場合

舌苔は硬い歯ブラシなどで強くこすると舌の表面にある味を感じる「味蕾(みらい)」という繊細な組織を傷つけてしまい、かえって口臭を悪化させてしまうことがあります。
当院では舌の粘膜を傷つけない専用の舌ブラシや舌クリーナーを用いた安全で効果的な清掃方法を歯科衛生士が丁寧に指導します。
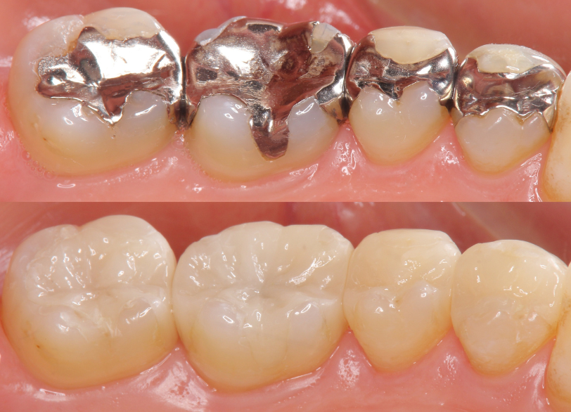
虫歯や不適合な修復物が原因の場合
虫歯がある場合はそれを確実に治療します。

また段差や隙間のある古い詰め物や被せ物はプラークが付着しにくい精密なセラミックなどの修復物に作り替えることで汚れが溜まりにくい清潔な口腔環境を再構築します。
唾液の減少(ドライマウス)が原因の場合

唾液の分泌を促すための耳下腺や顎下腺といった「唾液腺のマッサージ」の方法を指導します。
また食事の際によく噛むこと、水分をこまめに摂取すること、口呼吸を改善するためのトレーニングなど日常生活におけるアドバイスも行います。
爽やかな息で自信に満ちた毎日を
口臭治療は単にお口の臭いを取り除く治療ではありません。
それはお口の中の健康状態を正常化させ、全身の健康を守り、そして何よりも失われていたかもしれないコミュニケーションへの自信を取り戻すための極めて価値のある治療です。
根本的な原因を解決しその後の予防ケアを継続することで口臭の悩みから解放された快適な毎日を送ることが可能です。もう人との距離や会話中の口元を気にする必要はありません。
口臭は非常にデリケートなお悩みです。
だからこそ科学的根拠に基づいた客観的な診断と治療が可能な私たち専門家にご相談ください。
その一歩が皆様の明日をより明るく爽やかなものに変えるきっかけとなることを心から願っております。